Exercises to Stimulate Saliva: Easy Moves That Relieve Dry Mouth Fast

Do you always feel like your mouth is sticky and dry? You are not alone. Millions of people deal with this every day. The good news is that your own body can fix it. Simple exercises to stimulate saliva can wake up your salivary glands and bring real relief without any medicine. These exercises work […]
15 Best Foods That Increase Saliva Production and Cure Dry Mouth Naturally

Have you ever woken up in the middle of the night with a sticky, dry mouth that just would not go away? That feeling is more common than you think. Millions of people deal with it every single day. The good news is that what you eat can make a huge difference. Certain foods that […]
Home Remedies for Dry Socket: Clove Oil, Honey, Paste and Pain Relief Tips

Getting a tooth pulled is already stressful enough. But waking up two or three days later with a sharp, throbbing pain shooting up your jaw and into your ear? That is a whole different level of miserable. If that sounds familiar, you may be dealing with dry socket, one of the most painful complications that […]
Black Triangle Teeth: Causes, Treatment, Home Remedies and Before and After Results

Have you ever looked in the mirror and noticed small dark spaces at the base of your teeth, right near your gums? Those little gaps are called black triangle teeth, and you are definitely not alone in dealing with them. Millions of people around the world have these gaps and wonder what caused them and […]
Intraoral Scanners: Top 10 Types, Prices & Uses in Dentistry 2026

If you have ever visited a dentist and noticed them using a small handheld wand instead of that messy putty-like material in your mouth, you have already seen an intraoral scanner in action. These devices are reshaping modern dentistry across the United States, making appointments faster, cleaner, and far more comfortable for patients. Intraoral scanners […]
Perio Breath: Causes, Symptoms, Treatment and How to Get Rid of It Fast

Have you ever noticed a strong, unpleasant smell coming from your mouth even after brushing your teeth? You might be dealing with something called perio breath. It is not just regular bad breath. It is a specific type of odor that comes from a deeper problem inside your gums and teeth. Many people do not […]
Benefits of Waterpik vs. Flossing: Dentists Proven Guide

Aligned with ADA oral health guidance. Consult your dentist for personalized advice. Most people pick one and stick with it. Either they grab a roll of string floss every night, or they invest in a water flosser and never look back. But very few people actually understand what each tool is doing inside their mouth, […]
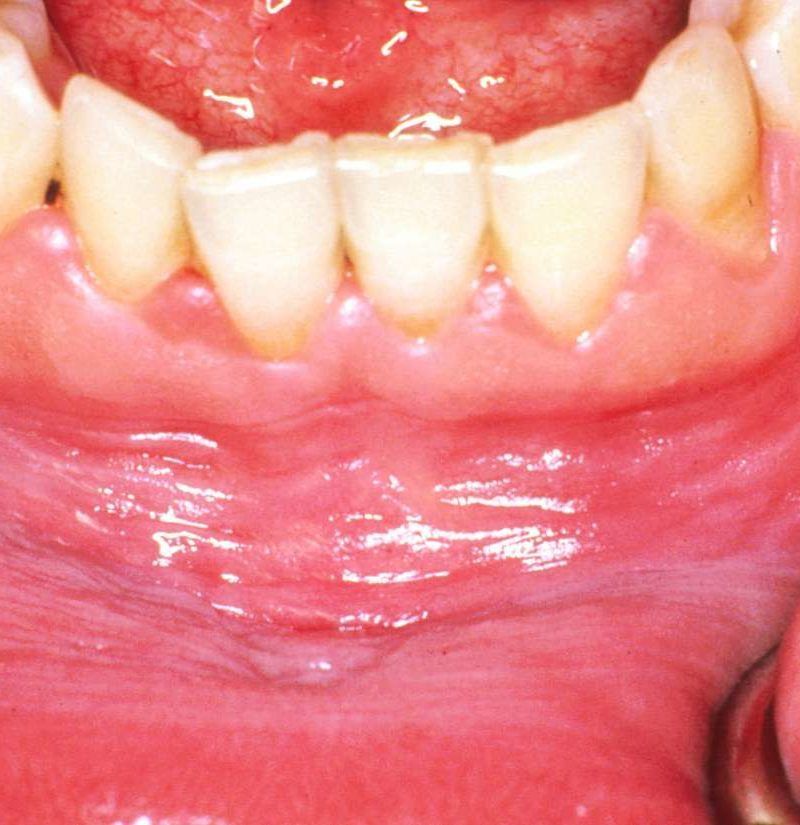
What Is Gum Recession? 9 Causes, Signs, and How to Stop It

What is gum recession? Gum recession is something most people do not notice until it is already causing pain. You might feel a sudden sensitivity when drinking cold water or notice your teeth look longer than they used to. That is gum recession happening right in front of you. It is one of the most […]
Best Toothpaste for Gum Recession: 14 Dentist-Trusted Picks

Have you ever looked in the mirror and noticed your teeth look a little longer than before? That is not your imagination. That is gum recession happening, and millions of people deal with it every single day. The good news is that the right toothpaste can slow things down, protect your teeth, and reduce the […]
Waterpik vs Flossing: The Honest 2026 Guide

Medically Reviewed: This article references peer-reviewed clinical research and ADA guidance. Consult your dentist for personalized advice. Brushing your teeth covers only about 60% of your tooth surfaces. The remaining 40% sits between your teeth and along your gumline, where a toothbrush simply cannot reach. That hidden 40% is exactly where gum disease, cavities, and […]