
Cement Retained vs Screw-Retained Implants: Powerful Guide
Reviewed for clinical accuracy against published literature from the Journal of Prosthetic Dentistry and the International Journal of Oral and Maxillofacial Implants. Most patients spend

Reviewed for clinical accuracy against published literature from the Journal of Prosthetic Dentistry and the International Journal of Oral and Maxillofacial Implants. Most patients spend

Most people searching how much are dental implants never think to ask about the retention system holding their crown in place. That one overlooked detail

If you’ve ever asked yourself how much are dental implants, you are not alone. With nearly 50,000 people searching this exact question every month, millions

If you are weighing Invisalign vs braces and wondering which one is right for your teeth, your lifestyle, and your budget, you are not alone.

If you have been Googling how much is Invisalign and landing on articles that throw out the same vague “$3,000 to $8,000” range without any

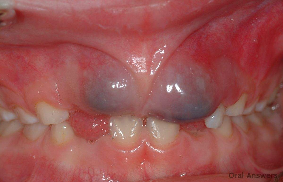
Discovering an unexpected lump on your gums can be concerning, especially when trying to determine if it’s a gum cyst vs blood blister. Both conditions

Discovering a dark spot or blood blister vs melanoma in your mouth can trigger immediate anxiety. While a blister with blood in the mouth typically

Gum infections affect millions worldwide, causing pain, swelling, and potential tooth loss if left untreated. Understanding the best antibiotics for gum infection is essential for

Zirconia dental implants have emerged as a compelling metal-free alternative to traditional titanium implants, offering solutions for patients concerned about biocompatibility, aesthetics, or metal sensitivities.
I’m Rabiya Umar, a dentist and blogger who shares simple, helpful content about dental health, general health, and everyday wellness.