white-color-on-gums-causes-&-symptoms

White Color on Gums: Causes, Symptoms & Treatments (2026)

You are brushing your teeth and something stops you cold. Your gums look pale, chalky, or patchy where they should be a healthy firm pink. Before you spiral into a late-night Google panic, take a breath.

White color on gums is one of the most searched oral health concerns globally, and for good reason. It can mean something as simple as a canker sore that disappears in a week or something that genuinely needs professional attention before it progresses. The key is knowing which one you are dealing with, and that is exactly what this guide is built to tell you.

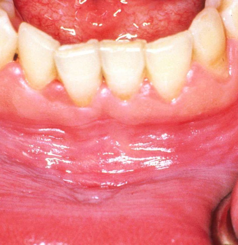
What Do Healthy Gums Look Like?

Healthy-Gums

Healthy gums are coral pink, firm, and fit snugly around the base of each tooth. They do not bleed randomly, they do not swell without cause, and they definitely do not turn white.

Any change from that baseline whether it is white color on gums, unusual paleness, or even gums color black patches in certain areas is your mouth sending a signal worth paying attention to. The question is always what that signal means and how quickly you need to respond.

8 Most Common Causes of White Color on Gums

causes-of-white-color-on-gums

1. Canker Sores

The most common reason people notice a sore in gums white appearance is a canker sore. These are small shallow ulcers with a white or yellow center and a red border. They are not contagious, not dangerous, and disappear on their own within one to two weeks.

Triggers include stress, acidic foods, and accidentally biting your cheek. Recurring clusters of canker sores deserve a dentist visit because they can signal nutritional deficiencies or immune issues that need addressing.

2. Oral Thrush

Oral thrush is a fungal infection caused by Candida yeast overgrowth. It creates creamy, cottage-cheese-like white patches on the gums, tongue, and inner cheeks. White color on gums from thrush often comes with a burning sensation and loss of taste.

Most common after antibiotic use, in diabetics, and in infants. Unlike canker sores, thrush will not go away on its own and requires antifungal medication such as nystatin or fluconazole to clear properly.

3. Leukoplakia

This one demands your full attention.

Leukoplakia produces thick white patches on the gums that cannot be scraped off. They feel rough and are considered potentially precancerous. Heavy tobacco use and chronic alcohol consumption are the biggest risk factors.

White color on gums from leukoplakia never resolves without treatment. Your dentist will biopsy the area to check for abnormal cells. Treatment ranges from quitting tobacco to laser removal of affected tissue depending on severity.

4. Gum Disease

Most people associate gum disease with bleeding and swollen gums. What fewer realize is that white color on gums is also a recognized sign. As infection advances, pus-filled pockets form along the gumline creating white or yellowish patches at the gum edge.

Advanced gum disease can also trigger gums color black changes in smokers as chronically infected tissue loses healthy blood supply and pigmentation. White gums paired with bad breath, bleeding, or loose teeth point strongly toward gum disease.

5. Teeth Whitening Reaction

If you recently had a professional whitening session or used whitening strips, the white color on gums you are seeing is almost certainly a harmless chemical reaction. Hydrogen peroxide temporarily bleaches adjacent gum tissue on contact.

It is not damaging, not permanent, and resolves within a few hours as blood flow returns to normal. No treatment needed here, only patience.

6. Tooth Extraction Recovery

After a tooth is removed a white film develops over the wound site. This is healthy granulation tissue and it means your body is healing exactly as expected.

The concern is when pain increases after day three rather than improving, or when a foul odor develops. That pattern signals a dry socket, which needs professional treatment promptly.

7. Oral Lichen Planus

Oral lichen planus is an autoimmune condition where the immune system attacks the mouth lining. It creates lacy white streaks on gums and inner cheeks alongside burning pain and occasional open sores.

There is no cure but it is manageable with topical corticosteroids and consistent dental monitoring. Because people with this condition carry a slightly elevated risk of oral cancer, those regular checkups are not optional.

8. Anemia

When your body is not producing enough healthy red blood cells, gum tissue loses its pink color and appears pale or washed out. Unlike patchy white color on gums from infection, anemia-related pallor looks uniformly pale across the entire gum surface.

Usually accompanied by fatigue, cold hands, and pale inner eyelids. Correcting the nutritional deficiency through diet or supplements gradually restores healthy gum color.

White Spots on Teeth vs. White Color on Gums

These two frequently appear together and often get confused, but they are completely different problems.

White spots on teeth occur on hard enamel. They are caused by demineralization from acid, fluorosis during childhood development, or enamel hypoplasia. If you are researching how to get rid of white scars on teeth, treatment options include fluoride remineralization, microabrasion, or composite bonding depending on severity.

White color on gums involves soft tissue entirely and has the full range of causes above. One does not cause the other and solving one does not solve the other. Both need separate attention.

White Blemish on Tongue Appearing With White Gums

white-color-on-tongue

A white blemish on tongue appearing at the same time as white color on gums usually points to a systemic cause rather than a localized one.

Oral thrush is the most common culprit when both appear simultaneously. Geographic tongue, hairy leukoplakia in immunocompromised individuals, and autoimmune conditions can also produce both at once. When you visit your dentist, specifically mention that changes are appearing in multiple locations. That single detail dramatically narrows the diagnosis and speeds up your path to treatment.

Symptoms: How to Know How Serious It Is

White color on gums alone is not enough information. The symptoms surrounding it determine urgency.

Lower urgency includes patches that appeared after eating something sharp, mild discoloration next to recently whitened teeth, a small ulcer after biting your cheek, or any change clearly improving day by day.

Higher urgency includes white patches present for more than two weeks without healing, patches that are growing in size, any lump or thickening in gum tissue, patches that bleed when touched, mixed red and white coloring, difficulty chewing or swallowing, or bad breath unresponsive to brushing.

The Two-Week Rule

If a white patch has not improved after two full weeks that is your appointment deadline. Canker sores and minor trauma ulcers show clear healing within that window. Anything that has not changed needs professional evaluation with no exceptions.

Could White Color on Gums Be Oral Cancer?

Most white patches are not cancer. But oral cancer can present as persistent white or mixed white-and-red patches that grow slowly and do not follow a normal healing timeline.

Signs that raise urgency include a patch growing over several weeks, unexplained loose teeth, a lump anywhere in the mouth, persistent numbness, and difficulty swallowing. The earlier oral cancer is found the better the outcome. Two weeks of no healing is your action threshold, book the appointment.

How Dentists Diagnose White Color on Gums

Your dentist starts with a full visual examination of the gums, tongue, inner cheeks, and soft palate. They will ask how long the white color on gums has been present, whether it is growing, and about your smoking, drinking, and medication history.

Many causes are identifiable on sight. Oral thrush has an unmistakable creamy appearance. Oral lichen planus has a recognizable lacy pattern. When the cause is unclear or the patch looks potentially precancerous, a biopsy is performed. Some practices also use VELscope fluorescence technology to detect abnormal tissue before it is visible to the naked eye, making early detection significantly more reliable.

Treatment Options for White Color on Gums

What You Can Do at Home Right Now

Brush twice daily with a soft toothbrush and fluoride toothpaste. Floss every day. Use an alcohol-free antimicrobial mouthwash. Drink plenty of water throughout the day. Eat foods rich in vitamin C and iron to support gum tissue repair. Avoid spicy or acidic foods while patches are present. Stop smoking entirely. These steps will not replace professional care but they actively support healing and stop conditions from progressing.

How to Prevent White Color on Gums

Prevention is almost always simpler than treatment. The daily habits that protect gum health are not complicated.

Brush and floss without skipping days. Attend professional cleanings at least twice a year. Quit tobacco completely. Moderate alcohol consumption. Eat a diet rich in vitamins C, D, and iron. Stay hydrated. Replace your toothbrush every three months. Pay attention to what your gums normally look like so any change becomes immediately obvious.

White color on gums from gum disease or chronic infection does not appear overnight. It builds slowly in mouths where bacteria consistently overwhelm the body’s defenses. Consistent daily care is what interrupts that process before it becomes a visible problem.

5 FAQs About White Color on Gums

Q: Can white color on gums go away on its own?

Yes, if caused by canker sores, minor trauma, or a whitening reaction. No, if caused by thrush, leukoplakia, or gum disease. Those need treatment.

Q: Is white color on gums always painful?

No. Leukoplakia is usually painless. Oral cancer patches are often painless early on. Never use the absence of pain as a reason to delay evaluation.

Q: How long should I wait before seeing a dentist?

Two weeks maximum. If a white patch has not clearly improved in 14 days, book an appointment immediately.

Q: Can white spots on teeth and white color on gums be caused by the same thing?

Rarely. White spots on teeth involve hard enamel changes while white color on gums involves soft tissue. They can appear together in people with poor oral hygiene but have different causes and need different treatments.

Q: Can stress cause white color on gums?

Yes, indirectly. Stress triggers canker sores and flare-ups of oral lichen planus, both of which produce white gum tissue changes.

Conclusion

White color on gums is one of those changes that sits somewhere between completely harmless and genuinely urgent depending entirely on what is causing it. A canker sore and a leukoplakia patch can look similar to an untrained eye but carry completely different implications.

The most important thing you can take from this guide is the two-week rule. If your white color on gums has not improved in 14 days, that is not a wait-and-see situation anymore. Pair that awareness with solid daily oral hygiene, no tobacco, regular dental visits, and a diet that supports gum health and white color on gums will rarely be a serious concern in your life. Your gums reflect your overall health more accurately than most people realize. Pay attention to what they are telling you.