Noticing white patches on your gums can be alarming, especially when they appear suddenly or refuse to go away. The good news is that treatment options for white color on gums exist for every cause, from simple home remedies to professional clinical procedures.
The challenge most people face is that no single treatment works for every case. The medication that clears oral thrush does absolutely nothing for leukoplakia. The home remedy that soothes a canker sore will not touch active gum disease. Getting the right result starts with identifying the right cause, and this guide covers both in full detail.
Why Diagnosis Always Comes Before Treatment
White gums are a symptom, not a diagnosis. Applying the wrong solution wastes time and can mask symptoms that allow a serious condition to progress quietly. A dental examination is always the correct first step before exploring any treatment options for white color on gums, whether professional or at home.
Understanding what each approach involves and why it works gives patients the knowledge to follow their plan properly and recognize quickly when something is not producing the expected result.
Treatments Organized by Cause

1. Oral Thrush
Antifungal Medication
Oral thrush responds well to targeted antifungal treatment. A dentist or physician will typically prescribe one of the following:
- Nystatin oral suspension swished around the mouth and swallowed, targeting the fungal infection directly at the site
- Fluconazole tablets prescribed for more persistent or widespread cases
Most patients see significant clearing within 7 to 14 days. Completing the full medication course is critical even when patches appear to clear early, because stopping too soon allows the infection to rebound.
Supporting home steps:
- Remove and clean dentures thoroughly every night
- Rinse mouth after using corticosteroid inhalers
- Eat probiotic-rich foods like plain yogurt to restore healthy bacterial balance
2. Canker Sores
Symptomatic Relief and Time
Canker sores heal on their own within 7 to 14 days. Care focuses on reducing discomfort and supporting faster recovery rather than fighting an infection.
- Warm salt water rinses two to three times daily reduce inflammation and bacteria
- Topical anesthetic gels containing benzocaine provide temporary pain relief
- Antimicrobial mouthwash such as chlorhexidine reduces bacterial irritation around the ulcer
- Avoiding acidic and spicy foods prevents aggravating white patches while healing progresses
For large or recurring canker sores, a dentist may prescribe a topical corticosteroid paste or prescription rinse to accelerate healing and reduce recurrence frequency.
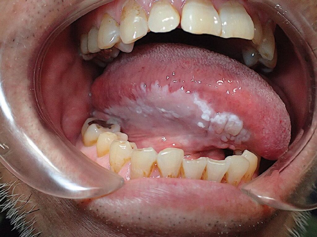
3. Leukoplakia

Removal and Risk Elimination
Leukoplakia is the most serious cause of white gum patches and requires the most direct approach. Because it is classified as potentially precancerous, monitoring alone is never sufficient.
Step one is always eliminating the root cause:
- Complete cessation of tobacco in every form
- Significant reduction or full elimination of alcohol consumption
Clinical procedures used:
- Laser therapy removes affected tissue precisely with minimal bleeding and faster recovery
- Cryotherapy uses extreme cold to destroy abnormal cells within gum tissue
- Surgical excision handles larger patches that laser cannot fully address
- Topical retinoids reduce patch thickness in select cases over time
Follow-up appointments every three to six months are among the most overlooked treatment options for white color on gums caused by leukoplakia, because the condition recurs particularly when tobacco use continues after initial removal.
4. Gum Disease
Professional Cleaning and Periodontal Care
Active gum disease cannot be resolved through home care alone at any stage beyond very early gingivitis. Professional intervention is required to eliminate the bacterial infection driving white gum patches.
| Stage | Treatment |
| Early gingivitis | Professional cleaning, hygiene improvement |
| Moderate disease | Scaling and root planing |
| Advanced periodontitis | Periodontal surgery |
Scaling and root planing removes hardened bacterial deposits from below the gumline under local anesthetic. After treatment, professional cleanings every three to four months maintain results and monitor gum tissue recovery over time.
5. Oral Lichen Planus
Inflammation Control and Monitoring
There is no cure for oral lichen planus but the white patches it produces on gum tissue are manageable with a consistent plan.
- Topical corticosteroid gels applied directly to white patches reduce immune-driven inflammation
- Tacrolimus ointment serves as an alternative when corticosteroids cause side effects
- Trigger avoidance including certain medications, dietary irritants, and stress reduces flare frequency
Regular dental monitoring every six months is non-negotiable. The small but elevated oral cancer risk associated with this condition makes early detection genuinely important over the long term.
6. Dental Appliance Irritation
Adjustment and Local Wound Care
White gum patches from rubbing caused by braces, retainers, or ill-fitting dentures resolve once the irritation source is corrected.
- Have the appliance adjusted or relined by a dentist or orthodontist
- Apply orthodontic wax over sharp brackets causing repeated gum trauma
- Use salt water rinses to reduce inflammation while tissue heals
This type of white patch typically disappears within one to two weeks once irritation stops completely.
Home Remedies That Genuinely Support Healing

Home care cannot replace professional treatment options for white color on gums caused by serious conditions, but it plays a real supportive role in symptom management and tissue recovery.
Effective strategies at home:
- Salt water rinses reduce bacterial load and soothe inflamed gum tissue
- Turmeric gel applied topically carries anti-inflammatory properties supported by dental research
- Aloe vera gel provides a cooling antimicrobial effect on irritated tissue
- Vitamin C-rich foods support collagen production and gum repair
- Staying well hydrated maintains saliva flow that naturally protects gum surfaces
What to avoid during recovery:
- Alcohol-based mouthwashes that dry and further irritate compromised tissue
- Spicy, acidic, and very hot foods that aggravate white patches
- Tobacco in any form as it actively blocks gum tissue healing
- Delaying a dental visit beyond the two-week threshold
Advanced Procedures for Persistent Cases
Laser Therapy
Removes abnormal tissue precisely while sealing blood vessels simultaneously. Recovery is faster than traditional surgery with significantly lower post-procedure infection risk.
Photodynamic Therapy
Light-activated compounds target and destroy abnormal cells in gum tissue. Increasingly used for early-stage leukoplakia and treatment-resistant oral infections with strong clinical results.
Biopsy
The essential diagnostic step before every serious clinical decision. A small tissue sample analyzed under a microscope confirms whether abnormal cells are present. Any persistent white gum patch lasting beyond two weeks without a clearly identified cause should be biopsied without further delay.
When to Stop Home Care and See a Dentist
Certain situations move beyond home management immediately:
- White patches present for more than two weeks without improvement
- Patches visibly growing or spreading to new areas
- Affected area bleeds when touched lightly
- Chewing or swallowing has become uncomfortable
- White gums appear alongside loose teeth or persistent bad breath
- Any history of tobacco use in any form
FAQs
Q: Are there effective treatment options for white color on gums at home?
Salt rinses, hydration, and consistent oral hygiene support healing for minor causes. They are not substitutes for professional treatment when the cause is infection, disease, or a precancerous condition.
Q: How long does treatment take to work?
Thrush clears in 7 to 14 days with antifungal medication. Canker sores resolve within one to two weeks naturally. Leukoplakia treatment depends on severity and whether tobacco use stops completely.
Q: Can white gums come back after successful treatment?
Yes if the root cause remains unresolved. Thrush recurs when risk factors stay in place. Leukoplakia returns when tobacco use continues. Gum disease relapses without consistent professional maintenance.
Q: Is white color on gums after teeth whitening dangerous?
No. It is a temporary chemical reaction to hydrogen peroxide that resolves within hours without any intervention.
Q: When should someone stop waiting and see a dentist?
After two weeks of no clear improvement, a dental appointment is no longer optional. Early professional evaluation consistently leads to simpler treatment and better outcomes.
Conclusion
Understanding treatment options for white color on gums starts with one core principle: the cause determines the cure. From antifungal medication for thrush to laser removal for leukoplakia, every approach on this list is targeted, and applying the right one makes all the difference in how quickly and completely the gum tissue recovers.
The two-week rule remains the clearest guide for action. White gums that have not improved after 14 days need professional evaluation without exception. Getting the right diagnosis early is what makes treatment options for white color on gums as effective as they are, and what consistently separates a quick recovery from a prolonged one.