Waterpik vs Flossing: The Honest 2026 Guide

Medically Reviewed: This article references peer-reviewed clinical research and ADA guidance. Consult your dentist for personalized advice. Brushing your teeth covers only about 60% of your tooth surfaces. The remaining 40% sits between your teeth and along your gumline, where a toothbrush simply cannot reach. That hidden 40% is exactly where gum disease, cavities, and […]
Loose Teeth in Adults: Causes, Fixes Proven Guide 2026

Have you ever touched your tooth and felt it move? That slight wiggle can send your heart racing. Loose teeth in adults are not like loose baby teeth. They do not just fall out and grow back. When a permanent tooth starts to move, it is a sign that something needs attention right away. Most […]
What to Eat After Tooth Extraction: Complete Guide 2026

Most people walk out of a dental office focused on the pain. Very few think about food until their stomach starts growling an hour later. That is when the real question hits. What exactly can I eat right now? Knowing what to eat after tooth extraction is not just about comfort. It directly affects how […]
Things to Avoid After Tooth Extraction: Complete Guide 2026

Getting a tooth pulled is something most people dread. But the procedure itself is usually over in minutes. The real challenge is what comes after. Most complications happen not because of the extraction itself, but because of what patients do during recovery. Knowing the things to avoid after tooth extraction is genuinely more important than […]
White Blemish on Tongue: Causes, Symptoms & Treatments 2026

You glance in the mirror, stick out your tongue, and something looks wrong. A white patch. A pale spot. A milky film that was not there yesterday. Before your brain spirals into worst-case territory, here is what you actually need to know. A white blemish on tongue is one of the most common oral complaints […]
Dental Implants and MRI: Safety, Risks & FAQs

Dental implants are a popular solution for missing teeth, offering strength, durability, and natural aesthetics. However, many patients wonder about their safety during medical imaging, particularly MRI scans. This comprehensive guide explains everything you need to know, including implant materials, MRI interactions, potential risks, and best precautions. Understanding Dental Implants and Their Materials Dental implants […]
Can a Sinus Infection Cause Tooth Pain? 2026 Guide

You wake up with a dull, throbbing ache across your upper back teeth. Your first thought is the dentist. But what if the problem has nothing to do with your teeth? Can a sinus infection cause tooth pain? Yes, absolutely. And it is one of the most commonly misdiagnosed connections in both dental and ENT […]
Invisalign vs Braces: Which Costs Less & Better in 2026?

If you are weighing Invisalign vs braces and wondering which one is right for your teeth, your lifestyle, and your budget, you are not alone. This is one of the most searched orthodontic questions in 2026, and the answer is rarely as simple as “one is better than the other.” The right choice depends on […]
How Much Is Invisalign? 2026 Cost Breakdown & Examples

If you have been Googling how much is Invisalign and landing on articles that throw out the same vague “$3,000 to $8,000” range without any real explanation, you deserve better than that. The Invisalign cost varies significantly depending on factors most dental websites gloss over. After reviewing hundreds of real treatment quotes and consulting with […]
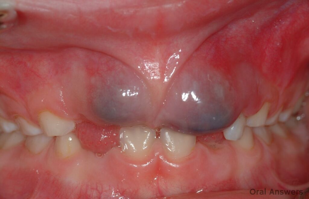
Gum Cyst vs Blood Blister: Expert Guide to Identify Oral Lumps

Discovering an unexpected lump on your gums can be concerning, especially when trying to determine if it’s a gum cyst vs blood blister. Both conditions present as raised lesions in the mouth, but they have fundamentally different origins, appearances, and treatment requirements. A blister with blood in the mouth typically appears suddenly following minor trauma […]